2021年09月18日
インビザラインを始めて2ヶ月経ちました✌️🤩🤩
みなさんこんにちは❤️🔥
歯科助手の原田です🦷🐯🐯
今回のブログはインビザラインについてです🎉
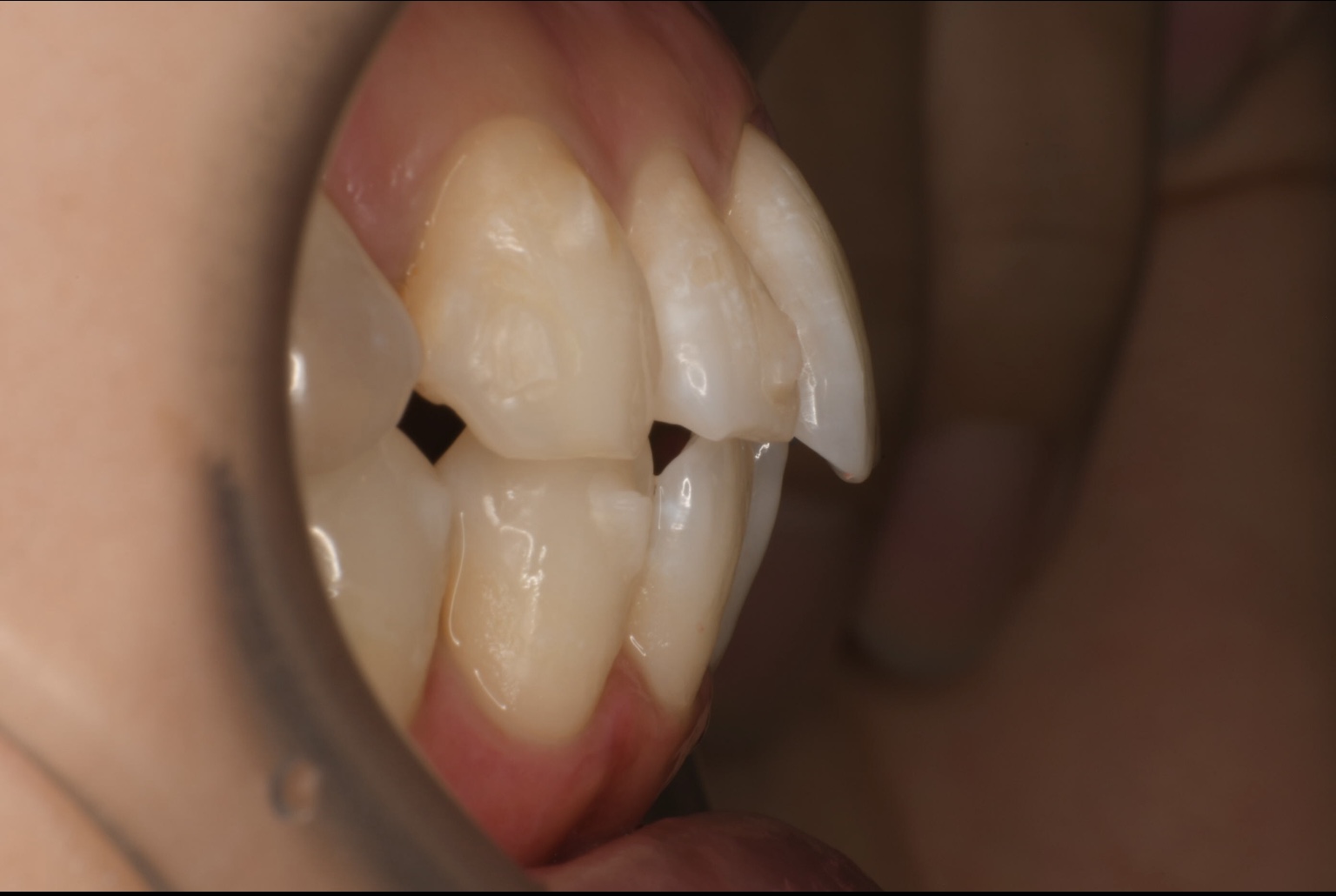
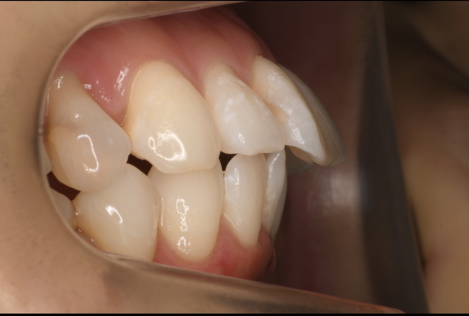
私は上顎前突(出っ歯)と叢生(歯が重なっている事)が気になっていて今年の7月からインビザラインを始めました🍃☺️☺️
私は甘い物や甘い飲み物が大好きなのでインビザラインを付けている時は飲食ができないのでそこがとっても辛いですがマウスピースなので目立つ事なく痛みも少なく周りのみんなにも言われるくらいたった2ヶ月で悩んでいた歯並びが改善されてきています🦷😳
芸能人やオリンピック選手などもインビザラインをしてる方がたくさんいらっしゃいますよね🏅!
少しでも歯並びが気になる方やインビザラインに興味がある方は是非!相談や話を聞いてみるだけでもタクヤデンタルクニックへお問い合わせして下さい🦷🎶
これからもみなさんが安心してお越し頂けるようコロナ対策をばっちり行いお待ちしております!!!
山形市で歯医者・歯科医院をお探しの方は「タクヤデンタルクリニック」にお任せください。
インプラント・親知らず治療・虫歯治療・歯周病治療・矯正歯科・審美歯科・予防歯科など様々な歯の治療に対応しております。
| 所在地 | 山形県山形市嶋北4丁目2番33号(ヨークタウン嶋) |
|---|---|
| 電話番号 | 023-681-4182 |
| 診療時間 | 8:30~17:00 |
| 休診日 | 日曜・祝日 |
| 駐車場 | 駐車場完備-お車でお越しいただけます。 |







